Our blog

Blog articles

9 May 2019

5 Things You Need To Know About Knee Replacement Surgery

Total knee arthroplasty is a treatment that replaces the damaged part of the knee with an artificial implant. After a thorough examination, you and your orthopedist can decide if you need knee surgery.

Read More
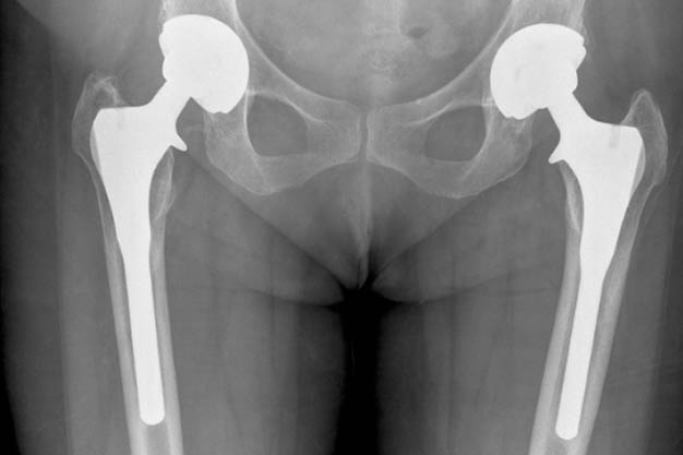
1 July 2021

7 Signs That A Hip Replacement Surgery Might Be Needed

Hip surgery is a reliable treatment to correct problems with the hip, the largest joint in the body. However, although it may be necessary, not all hip problems need to be surgically resolved.

Read More
19 Jan 2022

Do I Need a Joint Replacement?

Before answering the question, "Do you need joint replacement?", you first need to learn the facts needed for the joint replacement process. Let's start by establishing some basics. Many joints in the body, such as wrists, ankles, shoulders, and elbows, can be replaced with artificial joints. On the other hand, knee and hip prostheses are the most common.

Read More